東北大学技術
整理番号:T11-183
乳房疾患の調査方法
シクロフィリンA量を指標として乳腺疾患の発症可能性を判定
概要
乳牛の乳房炎は家畜の最難治疾病の一つとされており、乳量の低下、治療費の増大につながり、経済的損失が大きいことが知られている。その経済的損失を抑えるためには、乳房炎の早期発見が肝要である。しかし、既存の乳房炎検出方法であるPLテストは、すでに変性が見られるような乳房炎を検体として実施するため、早期発見には至らない。そこで、化学発光能測定法が有望視されている。しかし、化学発光能の測定には特殊な装置が必要となり、経済性および困難性の観点から、各乳業農家が日常的に実施する方法としては適していないという課題がある。
本発明によって、簡便かつ迅速に乳房炎を早期に発見することに資する方法やバイオマーカーを提供することが可能になった。本発明は、被験体の乳房から採取された乳汁におけるシクロフィリンAを検出する工程と、シクロフィリンA量に基づいて、乳腺疾患の発症または発症可能性を判定する工程を含むことを特徴とする。乳汁中のシクロフィリンA量が、健常な乳房から採取したものよりも大きい場合、被験体の乳房において乳腺疾患が発症している、または発症可能性があると判定する。

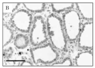
乳房炎発症乳腺組織における乳腺上皮細胞、乳汁および細胞浸潤部位では、強くシクロフィリンAが発現した

応用例
・酪農
・獣医療
知的財産データ
知財関連番号 : 特許第6176741号
発明者 : 麻生 久、北澤 春樹、渡邊 康一、大和田 修一、渡邉 一史、長澤 裕哉、染谷 俊輔、堀越 頼子、板谷 奈波
技術キーワード: 牛診断ツール、ELISA#乳房炎、シクロフィリン
